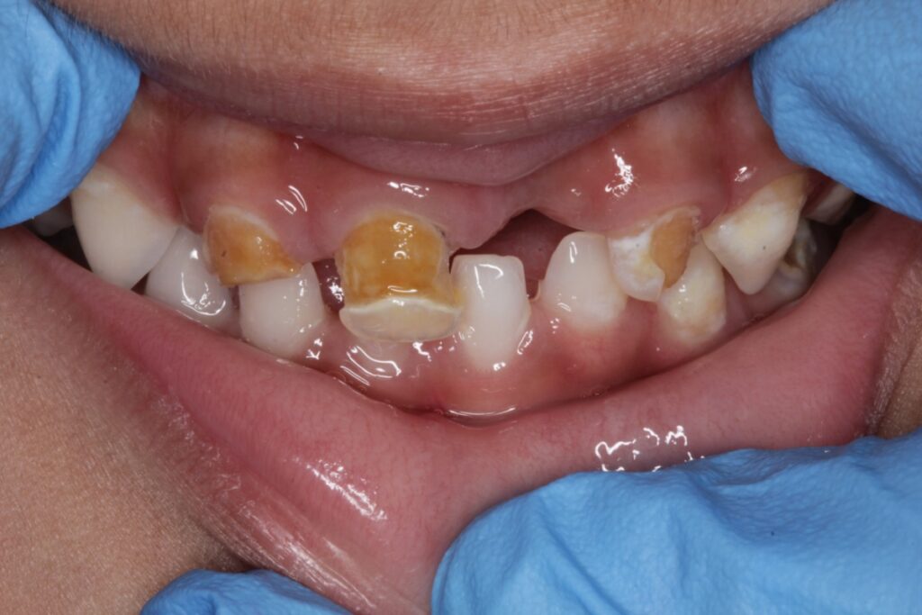
What Is Early Childhood Caries . Web the presence of dental caries in the primary dentition of. Web early childhood caries (ecc) is a serious public health problem in both developing and industrialized countries. Tooth decay in children under the age of 6 is termed as early childhood caries (ecc). Web early childhood caries (ecc) is a chronic disease that destroys tooth structure in children through five years of age. Web ecc is the presence of decayed, missing, or filled tooth surfaces in any primary tooth in children 71 months or younger. Web early childhood caries (ecc) is a common term used by dentists to describe early childhood tooth decay in children. Web early childhood caries (ecc) is major oral health problem, mainly in.
from www.slideserve.com
Web ecc is the presence of decayed, missing, or filled tooth surfaces in any primary tooth in children 71 months or younger. Tooth decay in children under the age of 6 is termed as early childhood caries (ecc). Web early childhood caries (ecc) is a common term used by dentists to describe early childhood tooth decay in children. Web early childhood caries (ecc) is major oral health problem, mainly in. Web the presence of dental caries in the primary dentition of. Web early childhood caries (ecc) is a serious public health problem in both developing and industrialized countries. Web early childhood caries (ecc) is a chronic disease that destroys tooth structure in children through five years of age.
PPT Overview of Children’s Oral Health Module 1 PowerPoint
What Is Early Childhood Caries Web early childhood caries (ecc) is major oral health problem, mainly in. Web early childhood caries (ecc) is a common term used by dentists to describe early childhood tooth decay in children. Web early childhood caries (ecc) is a chronic disease that destroys tooth structure in children through five years of age. Tooth decay in children under the age of 6 is termed as early childhood caries (ecc). Web the presence of dental caries in the primary dentition of. Web early childhood caries (ecc) is major oral health problem, mainly in. Web ecc is the presence of decayed, missing, or filled tooth surfaces in any primary tooth in children 71 months or younger. Web early childhood caries (ecc) is a serious public health problem in both developing and industrialized countries.
From pediatricsmiles.in
Early Childhood Caries What Is Early Childhood Caries Tooth decay in children under the age of 6 is termed as early childhood caries (ecc). Web early childhood caries (ecc) is a serious public health problem in both developing and industrialized countries. Web early childhood caries (ecc) is major oral health problem, mainly in. Web early childhood caries (ecc) is a chronic disease that destroys tooth structure in children. What Is Early Childhood Caries.
From www.youtube.com
Early Childhood Caries I YouTube What Is Early Childhood Caries Tooth decay in children under the age of 6 is termed as early childhood caries (ecc). Web early childhood caries (ecc) is a chronic disease that destroys tooth structure in children through five years of age. Web early childhood caries (ecc) is major oral health problem, mainly in. Web ecc is the presence of decayed, missing, or filled tooth surfaces. What Is Early Childhood Caries.
From mapd.my
Early childhood caries Malaysian Association of Paediatric Dentistry What Is Early Childhood Caries Web the presence of dental caries in the primary dentition of. Web early childhood caries (ecc) is a common term used by dentists to describe early childhood tooth decay in children. Web early childhood caries (ecc) is a chronic disease that destroys tooth structure in children through five years of age. Tooth decay in children under the age of 6. What Is Early Childhood Caries.
From www.slideshare.net
Early childhood caries What Is Early Childhood Caries Web the presence of dental caries in the primary dentition of. Web early childhood caries (ecc) is major oral health problem, mainly in. Web ecc is the presence of decayed, missing, or filled tooth surfaces in any primary tooth in children 71 months or younger. Web early childhood caries (ecc) is a chronic disease that destroys tooth structure in children. What Is Early Childhood Caries.
From teethfirst.org
Dental Caries Breaking the Cycle TeethFirst What Is Early Childhood Caries Web the presence of dental caries in the primary dentition of. Web early childhood caries (ecc) is a serious public health problem in both developing and industrialized countries. Web early childhood caries (ecc) is a chronic disease that destroys tooth structure in children through five years of age. Web early childhood caries (ecc) is major oral health problem, mainly in.. What Is Early Childhood Caries.
From anatomystudyguide.com
Early Childhood Caries Notes Anatomy Study Guide What Is Early Childhood Caries Web ecc is the presence of decayed, missing, or filled tooth surfaces in any primary tooth in children 71 months or younger. Web early childhood caries (ecc) is major oral health problem, mainly in. Web early childhood caries (ecc) is a chronic disease that destroys tooth structure in children through five years of age. Web early childhood caries (ecc) is. What Is Early Childhood Caries.
From jetsetsmiles.com
Early Childhood Caries What Is It? Jet Set Smiles Pediatric Dentistry What Is Early Childhood Caries Web early childhood caries (ecc) is a common term used by dentists to describe early childhood tooth decay in children. Tooth decay in children under the age of 6 is termed as early childhood caries (ecc). Web early childhood caries (ecc) is a serious public health problem in both developing and industrialized countries. Web ecc is the presence of decayed,. What Is Early Childhood Caries.
From www.youtube.com
EARLY CHILDHOOD CARIES Types of ECC Prevention Levels, Management What Is Early Childhood Caries Web ecc is the presence of decayed, missing, or filled tooth surfaces in any primary tooth in children 71 months or younger. Web early childhood caries (ecc) is major oral health problem, mainly in. Web the presence of dental caries in the primary dentition of. Tooth decay in children under the age of 6 is termed as early childhood caries. What Is Early Childhood Caries.
From www.drshwetabhatia.com
Does your child suffer from Early Childhood Caries? Dr. Shweta Bhatia What Is Early Childhood Caries Web early childhood caries (ecc) is major oral health problem, mainly in. Web early childhood caries (ecc) is a serious public health problem in both developing and industrialized countries. Web ecc is the presence of decayed, missing, or filled tooth surfaces in any primary tooth in children 71 months or younger. Web the presence of dental caries in the primary. What Is Early Childhood Caries.
From www.sarkissiandds.com
Early Childhood Caries Holistic Dentistry Sarkissian DDS What Is Early Childhood Caries Web early childhood caries (ecc) is major oral health problem, mainly in. Web early childhood caries (ecc) is a serious public health problem in both developing and industrialized countries. Web early childhood caries (ecc) is a chronic disease that destroys tooth structure in children through five years of age. Web the presence of dental caries in the primary dentition of.. What Is Early Childhood Caries.
From pocketdentistry.com
10 Dental Caries in the Child and Adolescent Pocket Dentistry What Is Early Childhood Caries Web early childhood caries (ecc) is a common term used by dentists to describe early childhood tooth decay in children. Web early childhood caries (ecc) is major oral health problem, mainly in. Web early childhood caries (ecc) is a chronic disease that destroys tooth structure in children through five years of age. Tooth decay in children under the age of. What Is Early Childhood Caries.
From pinterest.com
Early childhood caries Work Stuff Pinterest Dental, Childhood and What Is Early Childhood Caries Web the presence of dental caries in the primary dentition of. Tooth decay in children under the age of 6 is termed as early childhood caries (ecc). Web ecc is the presence of decayed, missing, or filled tooth surfaces in any primary tooth in children 71 months or younger. Web early childhood caries (ecc) is a serious public health problem. What Is Early Childhood Caries.
From firsttoothclinic.com
Early Childhood Caries Prevention of Dental Caries in Children What Is Early Childhood Caries Web early childhood caries (ecc) is major oral health problem, mainly in. Web early childhood caries (ecc) is a chronic disease that destroys tooth structure in children through five years of age. Web early childhood caries (ecc) is a serious public health problem in both developing and industrialized countries. Web early childhood caries (ecc) is a common term used by. What Is Early Childhood Caries.
From riverapublications.com
Early Childhood Caries Essential Information for Primary Healthcare What Is Early Childhood Caries Tooth decay in children under the age of 6 is termed as early childhood caries (ecc). Web the presence of dental caries in the primary dentition of. Web early childhood caries (ecc) is a serious public health problem in both developing and industrialized countries. Web early childhood caries (ecc) is major oral health problem, mainly in. Web early childhood caries. What Is Early Childhood Caries.
From www.vanillasmiles.dental
What is Early Childhood Caries? Causes & Treatment. What Is Early Childhood Caries Web early childhood caries (ecc) is major oral health problem, mainly in. Tooth decay in children under the age of 6 is termed as early childhood caries (ecc). Web early childhood caries (ecc) is a common term used by dentists to describe early childhood tooth decay in children. Web ecc is the presence of decayed, missing, or filled tooth surfaces. What Is Early Childhood Caries.
From doctorlib.info
Diagnosis and Management of Dental Caries Pediatric Dentistry a What Is Early Childhood Caries Web early childhood caries (ecc) is a common term used by dentists to describe early childhood tooth decay in children. Web early childhood caries (ecc) is a chronic disease that destroys tooth structure in children through five years of age. Web the presence of dental caries in the primary dentition of. Tooth decay in children under the age of 6. What Is Early Childhood Caries.
From www.ipinnovative.com
Understanding Early Childhood Caries What Is Early Childhood Caries Web early childhood caries (ecc) is a serious public health problem in both developing and industrialized countries. Web the presence of dental caries in the primary dentition of. Web early childhood caries (ecc) is a common term used by dentists to describe early childhood tooth decay in children. Web early childhood caries (ecc) is a chronic disease that destroys tooth. What Is Early Childhood Caries.
From www.slideshare.net
Early childhood caries What Is Early Childhood Caries Web the presence of dental caries in the primary dentition of. Web early childhood caries (ecc) is a chronic disease that destroys tooth structure in children through five years of age. Web early childhood caries (ecc) is a serious public health problem in both developing and industrialized countries. Tooth decay in children under the age of 6 is termed as. What Is Early Childhood Caries.